의료 감수: 박석민 한의사 (대표원장)
쇼그렌증후군 검사에서 Anti-Jo1 항체 양성의 의미: 근염과 간질성 폐질환
👨⚕️목차

쇼그렌증후군 병원 검사에서 가장 중요하게 보는 자가항체는 ANA, Anti-ssA Antibodies(Ro52, Ro60) 이 두 가지입니다.
쇼그렌증후군(Sjogren's syndrome, SS)는 단독으로 발생하는 경우가 많지만, 일부에서는 전신경화증, 루푸스, 류마티스 관절염, 갑상선염 등의 다른 자가면역질환과 중복돼서 발생하거나, 2차로 나타날 수 있기 때문에, 병원에서 여러 자가항체를 검사해 볼 수 있습니다.

오늘은 Anti-Jo-1 antibodies의 의미와
> Ro52와 동시에 발견되었을 때의 특징
에 대해 알아보겠습니다.

Parronchi, Paola. "Agreement between local and central antisynthetase antibodies detection: results from the Classification Criteria of Anti-Synthetase Syndrome project biobank." Clinical and experimental rheumatology 42 (2024): 277-287.
1. Anti-Jo1 자가항체란?
항히스티딜 tRNA 합성 효소(his-tRNA synthetase)를 인식하는 자가항체로, antisynthetase syndrome(항 합성 효소 증후군, ASS)의 가장 대표적인 항체입니다.

2. 항합성효소 증후군이란?
ASS는 주로 다발성 근염(polymyositis, PM) 또는 피부 근염(dermatomyositis, DM)과 간질성 폐 질환(ILD), Raynaud 현상, 기계공 손(mechanic’s hands), 관절염 등을 동반하는 질환군입니다.
ASS는 항-아미노아실 tRNA 합성 효소(anti-ARS) 자가항체에 의해 유발되는 자가면역 질환입니다.
이들 항체는 원래 세포 내 단백질 합성 과정에서 중요한 역할을 하는 효소를 표적으로 하며, 이들이 자가면역 반응의 표적이 되면서 근육, 폐, 관절 등 다양한 조직에서 염증을 유발합니다.

3. 대표적 항-합성 효소 항체 (Anti-ARS autoantibodies)
ASS는 아래와 같은 항체 중 하나 이상이 양성일 때 진단되며, 항체의 종류에 따라 임상 양상이 달라집니다.
항체 표적 효소 특징적인 임상 연관성
항체명
표적 효소
특징적 임상 양상
Anti-Jo-1
Histidyl-tRNA synthetase
가장 흔함 (15–30%), 근염, ILD, 관절염, "기계공의 손"
Anti-PL-7
Threonyl-tRNA synthetase
ILD 두드러짐, 근염은 경미할 수 있음
Anti-PL-12
Alanyl-tRNA synthetase
ILD 중심, 위장관 증상도 보고됨
Anti-EJ
Glycyl-tRNA synthetase
ILD, 근염, 관절염
Anti-OJ
Isoleucyl-tRNA synthetase
드물고, 다양한 전신 증상
Anti-KS, Anti-Zo, Anti-Ha
각각 Asparaginyl, Phenylalanyl, Tyrosyl
매우 희귀, 사례 제한적
Anti-Jo1 항체는 전체 ASS 환자의 약 60–70%에서 발견되며, 예후와 관련된 많은 연구가 축적되어 있습니다.

4. ASS의 주요 임상 증상
다음과 같은 전형적인 6가지 증후군을 보입니다. 이를 classic ASS triad 또는 ASS signature라고도 부릅니다.
- 근염 (Myositis)
대칭적, 근위부 중심의 근력 저하
CK 상승, 근생검에서 염증세포 침윤
일부 환자에서는 근염이 없거나 경미할 수도 있음 (amyopathic ASS)
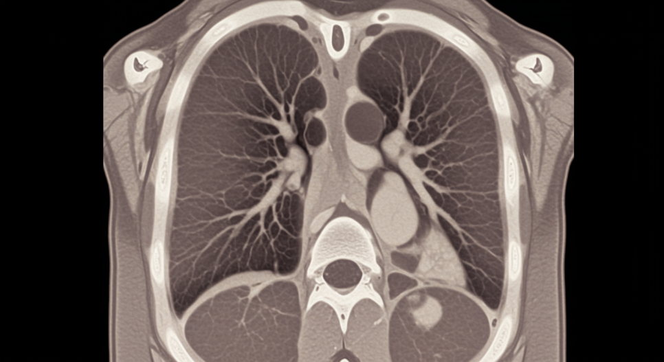
- 간질성 폐 질환 (Interstitial Lung Disease, ILD)
가장 흔한 사망 원인
초기 무증상이나, 점차 진행되는 호흡곤란, 기침
HRCT에서 NSIP > UIP, COP 패턴
- 관절염/관절통 (Arthritis/Arthralgia)
대칭성 관절염, RA와 유사하나 erosion은 덜함
손, 손목, 팔꿈치, 무릎 등이 흔함
- Raynaud 현상
손끝의 일시적 허혈 발작 (추위, 스트레스 유발)
일차성보다 혈관염, 폐고혈압 등의 위험 내포
- 기계공 손 (Mechanic’s Hands)
손바닥, 손가락 측면에 각질, 균열, 홍반
병태 생리상 피부 표피 과각화와 관련
- 발열 및 전신 증상
- 미열, 피로, 체중 감소 등 비특이적 증상 동반 가능

5. 항-Ro52와의 공존
항-ARS 항체는 항-Ro52(TRIM21) 자가항체와 공존하는 경우가 매우 많습니다. 이 조합은 다음과 같은 임상적 특징과 연관됩니다.
더 심한 근염과 관절염
암 발생 위험 증가 가능성
면역 활성화가 더 강한 표현형
간질성 폐 질환 등의 폐침범 가능성과 더 빠르게 진행할 가능성이 높습니다. 특히 PL-7, PL-12가 검출되면 좀 더 빠르게 진행할 수 있습니다.

Anti-Ro52는 단독으로는 쇼그렌 증후군, 전신홍반루푸스(SLE) 등에서도 발견되지만,
> Anti-Jo1 이 동시에 나타난다면
> 심한 증상을 발전할 가능성이 있기 때문에
조기 검사와 적극적인 치료가 필요할 수 있습니다
이레한의원
자주 묻는 질문
Q1. Anti-Jo1 항체가 양성이면 어떤 의미인가요?
A1. Anti-Jo1 항체는 항합성효소항체(anti-synthetase antibody)의 대표적인 종류로, 양성이면 염증성 근염(다발성 근염·피부근염)과 간질성 폐질환의 위험이 높다는 신호입니다. 쇼그렌증후군 검사에서 이 항체가 발견되면, 근육 약화나 호흡기 증상이 동반될 수 있으므로 추가 검사가 필요합니다.
Q2. 쇼그렌증후군과 근염이 동시에 나타날 수 있나요?
A2. 네. 쇼그렌증후군은 다른 자가면역질환과 중복(overlap)되어 나타나는 경우가 적지 않습니다. Anti-Jo1 양성인 환자는 근력 약화, 근육통과 함께 마른 기침이나 호흡곤란 같은 간질성 폐질환 증상이 동반될 수 있으며, 이를 항합성효소증후군(anti-synthetase syndrome)이라고 합니다.
Q3. Anti-Jo1 양성이 확인되면 어떤 검사를 추가로 받아야 하나요?
A3. 근효소 수치(CK, aldolase) 혈액검사, 폐기능 검사(DLCO 포함), 고해상도 흉부 CT로 간질성 폐질환 여부를 확인해야 합니다. 근력 약화가 있으면 근전도(EMG)와 필요시 근육 생검도 고려됩니다. 조기 발견이 폐 섬유화 진행을 늦추는 데 매우 중요합니다.