블로그/칼럼 쇼그렌증후군
기쿠치병(아급성 괴사성 림프절염) Covid19 감염 이후 시작
블로그

의료 감수: 박석민 한의사 (대표원장)

기쿠치병(아급성 괴사성 림프절염) Covid19 감염 이후 시작

👨‍⚕️
의료 감수 이레한의원 원장

이미지 1

기쿠치병(Kikuchi-Fujimoto disease, KFD)은 아급성 괴사성 임파선염(subacute necrotizing lymphadenitis)입니다. 과거에는 조직구성 괴사성 림프절염, 혹은 괴사성 림프절염이라고 부르기도 했습니다. 동양에서 보고되는 경우가 많고, 병명은 1972년 일본인 의사에 의해 명명되었습니다.

경부 임파선이 부으면서 발열, 인후통, 소화기 증상과 더불어 전신적인 피로감, 관절통이 나타날 수 있습니다. 일반적으로 수 주에서 4개월 이내에 회복되며, 재발은 5% 미만으로 매우 드문 질환입니다.

평균 발명 연령은 28세 정도이며 여성에게 발생할 위험은 남성보다 9배 정도 높습니다.

93%에서 경부 림프절염 비대가 보이며

쇄골, 액와, 서혜부에도 침범할 수 있습니다.

발병 원인은 바이러스 감염인 경우가 많으며

EBV, HPV, VZV 등 흔하게 접하는 바이러스와 CMV, HBV, Rubella 등이 원인이 되고

Yersinia enterocolitica, Toxoplasma gondii 등의 세균감염도 원인이 될 수 있습니다.

한편 쇼그렌증후군과 같은 자가면역질환에 동반되기도 하는데관련 내용은 다음 글을 참고해 주세요

만약 4개월 이내에 회복되지 않는 경우에는 기쿠치병이 아닌 다른 질환과 감별해 봐야 하는데

악성 림프종, 결핵성 임파선염 그리고 루프스와 같은 자가면역질환이 그것입니다. 혹은 초기 증상은 KFD가 맞았지만, 시간이 지나면서 루푸스와 같은 자가면역질환으로 진행하는 경우도 보고되고 있습니다. KFD는 임상증상과 조직 검사를 참고하기 때문에 초기에 다른 질환과 혼동할 위험이 있습니다.

108케이스를 장기간 관찰해 보는 동안2명은 전신홍반루푸스로 진행하였기 때문에KFD는 오랜 시간 추적관찰해볼 필요가 있는 질환입니다.
Dorfman RF, Berry GJ. Kikuchi’s histiocytic necrotizing lymphadenitis: an analysis of 108 cases with emphasis on differential diagnosis. Sem Diagn Pathol 1988;5:329-45.

이미지 2

KFD 발생은 자가면역성 염증이 관여한다고 보고 있습니다.

경도의 백혈구 감소증이 전체 20–58%에서 확인되고 있으며

이는 염증성 사이토카인의 작용으로 보입니다.

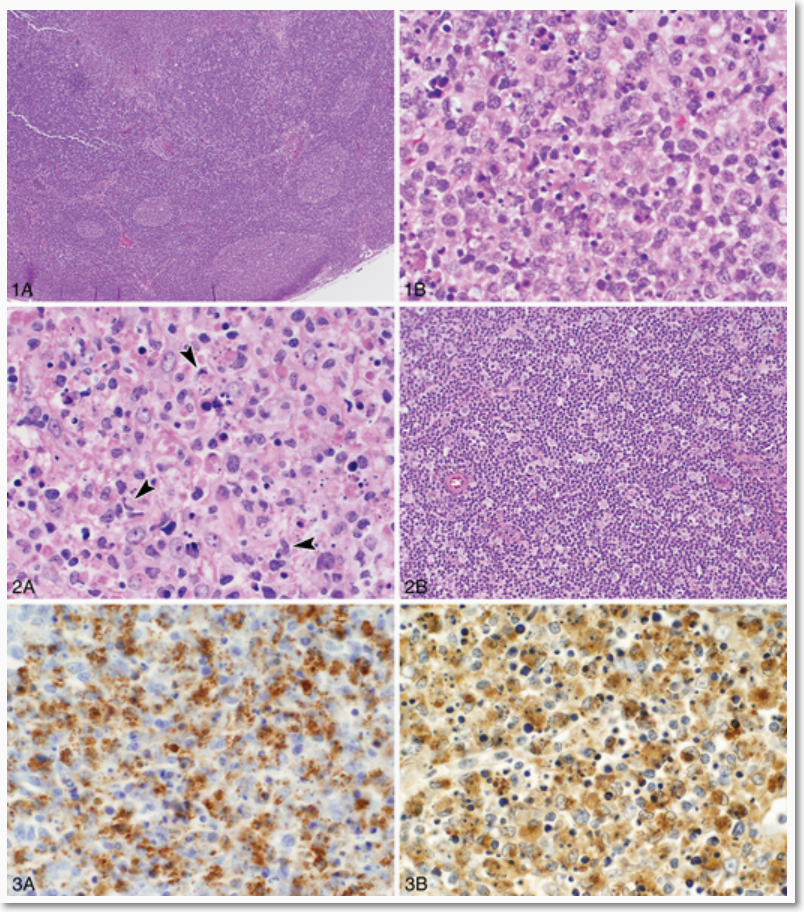
조직 검사 소견에서

reactive lymphoid follicles과 expanded paracortex with circumscribed foci of necrosis 관찰

괴사 주변에서 crescentic hisiocytes 관찰. paracrotical expasion with a proliferation of lymphocytes 관찰

myeloperoxidease 양성 의 특징이 있습니다.

위 논문의 저자들은 KFD의 병리에

T cell mediated hyperresponse to certain antigen stimuli라고 분석했습니다.

유전적 배경이 있는 사람이 환경 유발 인자에 노출되면서

병소에 CD8+ T cell의 증식하게 되고 이는 주변 림프절 세포의 자멸사를 유도하여

괴사에 이르게 됩니다. 그 외에 IL-6, FasL, wax와 wane 경로의 활성화도 관찰됩니다.

저자들은 토론에서

대부분의 기쿠치병 환자들의 혈액검사에서 자가항체가 검출되지 않기 때문에 직접적인 관련성은 적을 수 있다고 언급하고 있습니다. 하지만 임상증상과 면역학적 특징은 AD와의 관련성을 충분히 보여주고 있으며

SLE에 발생하는 임파선염과 유사한 패턴을 보이는 경우도 있습니다.

이미지 3

KFD 발생에 여러 바이러스가 트리가가 된 것처럼

Covid-19도 원인이 될 수 있습니다.

2023년의 논문을 통해 케이스를 보겠습니다.

41세 유럽 여성.

특별한 과거력 없고, 복용약 없음.

SARS-CoV-2 감염 이후 경미한 근육통과 발열이 2일간 지속.

10주 뒤 병원을 방문했는데, 3 주 전부터 우측 경부가 부으면서 통증이 생겼다고 보고.

통증은 점차 넓어졌고, 1주 전부터는 39도의 발열.

발한, 체중 감소, 호흡곤란, 기침, 인후통 등의 감염 증상은 없었음.

최근 다른 감염을 의심할 만한 소견이 없었고 가족 중에도 감염자는 없다고 확인됨.

이미지 4

이학적 검사상 우측 경부, 이하선 주변 임파선 부종 확인.

약간의 피부 발진과 간종대 비장종대 확인.

ESR 19 mm/h CRP 22 mg/dL procalcitonin 0.2 ng/mL

혈소판 감소증 확인 7.9만

ALT 259 / AST 221 / LDH 581로 증가

이미지 5

ANA, dsDNA, anti-Sm 등 자가항체 검사에서 음성

HIV, HBV, HCV 등 검사 음성

경부 CT에서 목 주변 여러 장소에서 multiple lymphadenopathies 확인

가장 큰 것은 2X3 cm이며

homolateral submaxillary adnopathic conglomerate with a longitudinal axis of 6cm 확인.

복부 CT에서 205mm의 간종대와 143mm의 비장종대 확인

right cervical lmphadenopathy 부위 조직 검사에서

active germinal centers와 necrosis 확인

육아종 형성 없었고

eosinophilic granulocytes, heamatoxylin bodies 없었고

림프종 소견 없었음.

PAS 음성, CMV 음성, 결핵균 음성

결과적으로 기쿠치병으로 진단.

2023 kazuki takahashi et al은 기쿠치병 이후에 발생한 쇼그렌증후군에 관한 케이스 리포트 논문을 출간 할 예정이고 지금 피어리뷰 중입니다. pediatrics international에 온라인 출간 예정입니다.

자주 묻는 질문

Q1. 기쿠치병이 코로나 감염 후에 나타날 수 있나요?

A1. 보고되고 있습니다. 코로나 감염이 면역 반응을 과도하게 활성화시켜 기쿠치병(아급성 괴사성 림프절염)이 촉발될 수 있습니다. 목 부위 림프절 부종 + 발열 + 피로가 감염 후 수주 내에 나타나면 감별 대상에 포함합니다.

Q2. 기쿠치병은 위험한 질환인가요?

A2. 대부분 양성 질환으로 수주–수개월 내에 자연 치유됩니다. 하지만 림프종과 감별이 필요하므로 림프절 생검이 권장됩니다. 자가면역질환(루푸스, 쇼그렌증후군)이 배경에 있으면 재발 위험이 높습니다.

Q3. 기쿠치병이 재발하면 어떻게 하나요?

A3. 재발 시 배경 자가면역질환을 적극 감별하고, 면역 조절 치료를 시작합니다. 한약으로 면역 균형을 안정시키면 재발 빈도를 줄이는 데 도움이 됩니다.

고민되는 증상이 있으신가요?

이레한의원에서 1:1 맞춤 상담을 받아보세요.

원장

환자의 건강한 삶을 위해 최선을 다해 진료합니다.

의료진 소개 더보기 →

함께 보면 좋은 문서

다음으로 보면 좋은 자료

현재 보고 있는 문서 기쿠치병(아급성 괴사성 림프절염) Covid19 감염 이후 시작

관련 주제와 진료 정보를 이어서 확인하면 이해가 더 빠릅니다.

가장 먼저 보면 좋은 문서 진료

쇼그렌증후군

쇼그렌증후군은 긴 호흡이 필요한 질환입니다. 오늘의 편안함을 되찾고, 내일의 건강을 지킬 수 있도록 당신의 곁에서 세심하게 치료하겠습니다.

프로그램 보기

관련된 다른 글